Akuta tillstånd
Utredning och behandling av akuta sjukdomar och skador i hand och underarm.
Obs! Bilderna och filmerna i utbildningen kan upplevas som obehagliga.
Introduktion: akuta tillstånd
Behandlingen av akuta skador i handen görs alltid med hänsyn till handfunktionen och kräver en god kunskap om underliggande anatomi. Handkirurgiska skador kan omfatta både mjukdelar och ben vilket kan göra att det behövas avancerade tekniker för att återskapa det som har blivit skadat.
Målsättningen inom handkirurgin är att alla sårskador ska läka primärt. Detta för att undvika tjocka och stramande ärr, som ofta inverkar negativt på handens funktion. Undantaget från denna regel är perifera fingertoppsskador, som kan sekundär läka med gott resultat. Vid skador med förlust av hud måste däremot olika tekniker tillämpas för att täcka underliggande vävnad.
Sårskador
Råd och färdigheter
Praktiska råd och färdigheter, Suturteknik
Suturtekniker och material - Vårdhandboken
Allmänt
Målsättningen inom handkirurgin är att alla sårskador skall läka primärt. Detta för att undvika tjocka och stramande ärr, som ofta inverkar negativt på handens funktion. Undantaget från denna regel är perifera fingertoppsskador, som kan sekundärläka med gott resultat. Vid skador med förlust av hud måste däremot olika tekniker tillämpas för att täcka underliggande vävnad:
- Fri hudtransplantation. Görs vid ytliga skador med god vaskularisering av underliggandebädd och där hudtransplantatet kan göras så tunt att huden överlever genom diffusion från underlaget, tills nya blodkärl vuxit in och vaskulariserat transplantatet (tar ca 3 veckor). Vanligen används delhud dorsalt och fullhud volart på handen.
- Lambåtäckning med lokal förskjutnings- eller rotationslambå.*
- Lambåtäckning med närlambå (exempelvis korsad fingerlambå).*
- Lambåtäckning med fjärrlambå (ljumske, buk, korsad arm m.m).
- Lambåtäckning med fri lambå (exempelvis rygg, överarm).
* När bädden ej tillåter fri hudtransplantation (till exempel vid blottad sena, blottad led i såret).
Fingertoppsskador
Fingertoppsskada utan blottlagt ben
Fingertoppsskador utan blottlagt ben behandlas vanligen bäst med konservativ regim. Det vill säga initial rentvättning av såret och därefter omläggningar med förband som inte helt torkar ut sårytan. Läkningen bygger på att epitelet växer in från sidorna av sårkanten varför det kan ta flera veckor eller månader innan toppen är fullt läkt.
Att det är mödan värt att vänta beror på att man slipper korta fingret eller tummen ytterligare för att få primär sårläkning. Hudtransplantat är ett annat alternativ men jämfört med det blir både form och kvalitet på toppen betydligt bättre efter sekundärläkning.
Fingertoppsskada med blottlagt ben
Fingertoppsskador med blottlagt ben läker inte på konservativ behandling eftersom de dermala cellerna inte förmår att växa in och täcka benvävnaden. Förutsättningarna för att hudtransplantat skall överleva är också mycket dåliga.
Den primära åtgärden blir därför att nypa ned benet till en nivå som ligger under mjukdelarnas yta. Använd en bentång och trimma benet till en jämnt rundad form.
Förstahandsalternativet är att recessera tillräckligt med ben för att man primärt skall kunna suturera sårkanterna till varandra. Observera att det inte får vara för spänt eftersom cirkulationen i kanterna av såret då blir dålig vilket ger risk för nekros, infektion och sårruptur. Nagelbädden får inte heller sys ned för att använda som täckning eftersom det kan leda till s.k. klonagel eller andra nageldeformiteter som är mycket störande för patienten.
Ett annat alternativ är att man först trimmar ned benet och om mjukdelarna täcker benet får såret sedan sekundärläka men det är en mer osäker och tidskrävande metod. Avseende fingrarna prioriteras läkning och stumpens kvalitet före längd. Det innebär att man ofta tvingas korta benet något för att täcka toppen med viabel hud av god kvalitet.
När det gäller tummen är situationen annorlunda och här gäller det omvända, att bevara längd till varje pris. Är benet blottlagt i tummens topp bör fallet därför diskuteras med handkirurg gällande eventuell täckning med hjälp av hudlambå. Lambåtäckning i detta fall innebär att med olika tekniker förskjuter eller förflyttar hud med bevarad cirkulation. Området man ”lånar” ifrån kan ligga mer proximalt på fingret, på ett angränsande finger eller i handflatan.
En speciell teknik för "avancering-" av den volara huden finns för täckning av en defekt i tummens pulpa (Moberg lambå) . Vid förlust av hud på grund och mellanfalang kan ibland en lambå från intilliggande finger ge hudtäckning. Den transfererade huden saknar emellertid känsel, vilket är en stor nackdel.
V till Y plastik
V till Y plastik kan användas för att uppnå täckning vid fingertoppsskada.
Man lägger således ett V-format snitt volart underminerar vävnaden men behåller kontinuiteten av kärl och nerver under det att lambån avanceras upp till den dorsala defekten.
Därefter sys lambån fast med enkla suturer, på dorsala sidan kan man fästa genom nageln.
Amputationer
Amputation i DIP-ledsnivå
Om amputationsnivån ligger nära DIP leden är det bästa alternativet vanligen att exartikulera, dvs att dela fingret genom leden och sedan trimma ner kondylerna för att få en fint rundad topp. Man skall korta benet så mycket så att man kan få hudtäckning utan spänning.
Bäst är det om man kan täcka med den volara huden som är mer tålig och ofta tjockare varför ”polstringen” blir bättre. Det är också bättre att få ärret mer dorsalt för att så långt som möjligt undvika att det utsätts för tryck eller stötar. Den djupa böjsenan dras sedan fram, delas och får sedan retrahera upp i senskidan.
Digitalkärlen bränns av och digitalnerverna dras fram, klipps och lämna att retraheras så att de inte ligger ytligt eller nära toppen. Vi diatermerar också vanligen nervändan i samband med att den delas för att minska risken för utveckling av neurom men om detta råder ej konsensus. Behandling av dessa skador sker på länsdelssjukhus.
Proximala amputationer
Proximal amputation av enstaka finger är i Sverige ej indikation för replantation. Obs att detta ej gäller tummen (inget finger!) och inte heller barn. Det kan finnas andra speciella skäl till undantag också men och om det råder osäkerhet kring detta så konsultera handkirurg per telefon. Skicka inte iväg patienten omedelbart med ett löfte om att fingret skall ”sys på” eftersom olika besked i denna situation ger upphov till stor förvirring och besvikelse.
Om replantation är aktuell är tidsfaktorn avgörande för utgången varför omedelbar telefonkontakt med jourhavande handkirurg skall tas. Enstaka fingeramputation oavsett nivå handläggs på länsdelssjukhus.
Vid amputation på mellanfalangen är det bra om man kan bevara åtminstone den proximala tredjedelen. Patienten har då kvar både extensorsenans- och det mesta av den ytliga böjsenans infästning och får då en bra funktion i PIP leden.
Är den proximala delen av falangen mycket kort blir nyttan mindre och patienten riskerar att utveckla en flexionskontraktur som är störande.
Om Amputationen är nära PIP leden är det därför ofta bättre att exartikulera, framförallt om det finns tveksamheter kring hudtäckning. Grundfalangens flexion får sedan ske via intrinsic muslerna.
Replantation
Revaskularisering vid finger/hand utan cirkulation och replantation när fingret/hand helt skiljt från kroppen är framförallt aktuell vid tumamputationer proximalt om IP-leden, vid multipla fingeramputationer, vid delhands- eller helhandsamputationer och vid alla amputationer på barn.
Enskilda fingrar replanteras sällan och det gäller särskilt pekfingret vars funktion lätt kan ersättas av långfingret. Ett relativt stelt pekfinger utan känsel kommer att ”störa” handens och framförallt långfingrets funktion. Vid replantation är tidsfaktorn och primärt omhändertagande av yttersta vikt för ett lyckat resultat.
Amputatet skall under transporten förvaras kallt, inlindat i koksaltskompress i försluten påse eller handske, där utanför isvatten i separat påse/behållare. Amputatet ska inte läggas direkt på is eftersom det kan leda till frysskador som gör det oanvändbart. Om amputatet innehåller muskelvävnad leder ischemin till irreversibel nekros efter 6-8 timmar.
Ringavulsioner
Ringavulsioner är en skada som kräver liknande handläggning som traumatiska amputationer.
Skademekanismen är att en ring fastnar i något när patienten hoppar ner från tex ett lastbilsflak. Ringen avulserar mjukdelarna på fingret och cirkulationen skadas. Ben och senor är i regel intakta men DIP leden kan slitas loss.
Behandlingsalternativ innefattar amputation eller mikrokirurgisk revaskularisering. Vid revaskularisering bör detta göras omgående då fingret inte går att hålla kallt.
Kompartmentsyndrom
Allmänt
Kompartment syndrom är ett tillstånd där trycket inom ett avgränsat rum överstiger det kapillära perfusionstrycket. Genomblödning av muskler och andra vävnader inom detta kompartment upphör då vilket leder till vävnadsnekros. Observera att det är perfusionstrycket på kapillärnivå som är avgörande. Därför är palpabla pulsar ingen garanti för att det inte föreligger kompartmentsyndrom.
Kompartmentsyndrom är ett urakut tillstånd eftersom det kan räcka med några timmars nedsatt cirkulation för att irreversibla skador skall uppkomma. Det är i första hand muskulaturen som tar skada. Sådana skador medför i ett längre perspektiv till fibros och kontraktur vilket leder till svårbehandlad felställning och stelhet.
Den primära orsaken är ofta en klämskada, ett slag eller ett yttre tryck. En inte ovanlig orsak är att en medvetslös eller kraftigt berusad person har legat och tryckt med huvudet mot underarmen. Det kan också vara en fraktur eller inre blödning som är orsaken till att trycket ökar. När trycket ökar kan skada uppstå som i sin tur ger ökad cellpermeabilitet vilket leder till ödem som i sin tur ökar trycket och en självgenererande ond cirkel uppkommer.
Behandling
Behandlingen är att det avgränsade rummets väggar, dvs. att fascior öppnas kirurgiskt. Många gånger sväller då musklerna fram och huden kan inte slutas. Man får då dra ihop såret så gått det går utan för mycket spänning för att sedan sluta såret när musklerna svällt av. Det finns även teknik för att hålla ihop och successivt sluta sårkanterna mha av ståltråd eller elastiska band.
Hudtransplantat kan senare behövas. När det gäller underarmen finns tre kompartment och både extensor och flexormuskulatur kan drabbas. I handen finns ett tiotal slutna kompartment som alla måste öppnas kirurgiskt om kompartment syndrom misstänks i denna region.
Svårigheterna med kompartment syndrom ligger i diagnostiken. Smärtor efter trauma kan vara svårtolkade. Oproportionerligt svåra smärtor som svarar sämre än förväntat på opioider eller annan stark analgetika är det viktigaste tecknet.
Kan misstanken om kompartmentsyndrom inte motbevisas är behandlingen definitionsmässigt kirurgisk. Fynd som stärker misstanken är ökande smärtor vid högläge. Om smärtorna främst beror på ödem och svullnad minskar de när extremiteten höjs om det däremot föreligger kompartmentsyndrom ökar smärtorna till följd av att perfusionstrycket minskar vid elevation.
Muskulaturen i området är hård och spänd, detta ger också semiflekterade fingrar där man får en uttalad smärtreaktion när man passivt försöker sträcka dem. Parestesier eller känselnedsättning av nerver som passerar genom aktuellt kompartment kan förekomma men det är ett sent och osäkert tecken liksom färgförändringar av huden. Inget avseende skall fästas vid artärpulsationer.
Det finns mätutrustning för att kontrollera vävnadstrycket som med hjälp av nål som sticks ned i aktuellt kompartment. Det kan vara svårt att veta om nålens placering ligger rätt placerad och även andra tekniska svårigheter kan föreligga som gör mätvärdena osäkra. Därför bör mätning främst utföras för att stärka misstanken såvida de inte är helt tydliga.
Mätning är framförallt av värde på patienter som inte kan medverka vid undersökningen exempelvis pga. medvetslöshet. Ett tryck på över 30-40 mm Hg talar för kompartmentsyndrom och det gör även ett tryck inom 30 mmHg av diastoliskt tryck. Det senare är framförallt av värde i sövda patienter på IVA med låga blodtryck.
Brännskador
Allmänt
Liksom vid alla andra skador gäller det att kliniskt bedöma omfattningen samt utbredningen av det skadade området.
Vid brännskador gäller dock att inte glömma bort att flera andra organ kan vara drabbade än de mest visuellt framträdande. Inhalation av rökgaser? Lungskada? Brännskada vid elektriska skador – här kan omfattande inre skador på organ och mjukdelar vara engagerade trots att det inte kan ses på ”utanpåskriften”.
- Steg 1 är således att fastställa vad som orsakat skadan!
- Steg 2, hur djupt når brännskadan? Detta bestäms enligt följande principer.
Inspektion
Intensivt röd färg indikerar en mer ytlig skada (epidermal eller ytlig dermal skada). En marmorerad yta är ett tecken på något djupare skada (djup dermal). De djupa fullhudsskadorna kan variera i utseende (vit hudfärg – brun – svart). En fuktande yta indikerar mer ytlig skada och en torr, matt yta tyder på djupare engagemang.
Fingertest
Kapillär återfyllnad: Tryck med ett finger på den skadade huden och släpp därefter snabbt.
Om rodnade kan tryckas bort och färgen återkommer snabbt så är detta ett tecken på att de ytliga kapillärerna inte är skadade. Ett positivt tecken på en ytlig skada. Känn på hudens hårdhet, en läderaktig stel hud är tecken på en fullhudsskada.
Nåltestet
Stick försiktigt med en vass nål och fråga patienten om det känns vasst eller trubbigt. Samtidigt kan man se om det blöder från sticksåret.
Om det känns vasst och det blöder från det ytliga sticket är detta ett bra tecken på att skadan är ytlig (epidermal eller ytligt dermal). Känns det trubbigt tyder detta på en djupare skada (djup dermal). Om patienten inte känner någonting och dessutom inte blöder rör det sig om en fullhudsskada.
Tabell - Brännskador
Utarbetad av P. Axelsson och P. Fredrikson. Skapad av Clancy Karlsson.
PDF-version, Brännskador, Axelsson, P., & Fredrikson, P.
Textversion, Brännskador, Axelsson, P., & Fredrikson, P.
Klinisk uppskattning av brännskadeyta
Den skadade ytan kan i akutskedet uppskattas med den s.k. ”9-regeln” som delar upp kroppsytan i procentsatser på nio eller arton.
Enligt regeln utgör huvud och hals 9%, vardera arm 9%, bålen och ryggen 18 % vardera och ben 18%. Patientens handflata med sammanhållna fingrar utgör 1 % av kroppsytan och det är användbart för att bedöma mindre sårytor.
Behandling
I akutskedet rekommenderas snabb nedkylning av det drabbade området i rumstempererat vatten under minst 5-10 min.
Målet är att sänka temperaturen i vävnaden under 44 grader så snabbt som möjligt. När detta väl har skett (vilket sker snabbt) har nedkylningen endast en smärtstillande effekt! Beakta risken för nedkylning.
Mer än 90 % av alla som söker vård med brännskador har mindre skador som kan skötas polikliniskt inom primärvården. Ytliga brännskador (epidermala och ytligt dermala) läker spontant på 2-3 veckor om de inte blir sekundärinfekterade. Målet med behandlingen av dessa skador är därför att ha säkra och för patienten bekväma sårvårdsrutiner för en snabb och spontan sårläkning med återställande av funktion och utseende.
Inom handkirurgin är mobilisering varvat med ortoser viktigt för att förhindra kontrakturer. Under de första dagarna efter en mer allvarlig skada brukar såren vätska mycket. I denna fas är det då både svårt, opraktiskt och obekvämt att lägga om sådana skador med kompresser, lindor el. dylikt. Bättre är att använda en ren plastpåse som tejpas fast med hudvänlig tejp runt handleden. Detta fungerar således både som skydd från nedsmutsning och som fuktkammare som möjliggör mobilisering av fingrarna och handens rörelser – gärna i högläge. Plastpåsen måste naturligtvis bytas ofta på grund av det stora vätskeutträdet. När vätskeutträdet sedan avtagit kan påsen bytas mot tunna fingerförband.
Råd och färdigheter - Omläggning av brännskador
Observera att vid circumferenta brännskador finns överhängande risk för cirkulationsstörning och kompartmentsyndrom! I dessa lägen kan det vara aktuellt med fasciotomier och/eller escharotomier (längsgående snitt i handrygg samt fingrarnas lateralsidor) för att sänka trycket. Kontrollera funktion och status distalt om skadan.
Såren tvättas helst med tvål och vatten. Spolning under ljummet kranvatten fungerar ofta bra. Så fort såren har läkt är det dags att smörja huden flera gånger per dag med icke-parfymerad lotion, kräm eller salva. Den första tiden finns rodnaden i huden kvar och särskilt distalt på extremiteter kan en nästan blålila färg observeras – detta försvinner sedan gradvis.
Frakturer
Råd och färdigheter
Frakturer i fingrar och metakarpalben
Översikt frakturbehandling - Praktiska råd och färdigheter
Alla filmer finns sammanställt på sidan Undervisningsfilmer under rubriken Frakturbehandling (Översikt).
Allmänt
Grundläggande behandling av hand- och handledsfrakturer skiljer sig egentligen inte från annan frakturbehandling; reposition av felställningen, bibehållande av repositionsläget via intern eller extern fixation och immobilisering tills frakturen är övningsstabil. Detta är grundprinciper som gäller även inom handkirurgin.
En skillnad är emellertid att handens småleder är känsliga för kvarvarande frakturhak efter intraartikulära frakturer och att handen är särskilt känslig för långvarig immobilisering. Båda dessa faktorer medför att operativ behandling tillämpas oftare för handfrakturer än för övriga frakturer.
Indikationen för operation av en fingerfraktur är ofta att omvandla en instabil fraktur till en stabil, allt i avsikt att förkorta immobiliseringstiden och starta aktiv rörelseträning så tidigt som möjligt.
Handen bör alltid immobiliseras i funktionsställning, dvs handleden rak eller lätt extenderad, MCP-lederna kraftigt flekterade (90°), interfalangeallederna raka och tummen palmar abducerad och lätt semiflekterad i MCP-leden. Fingerfrakturer bör ej immobiliseras längre än 3 veckor (över PIP-lederna).
Även om frakturen inte är helt röntgenologiskt läkt, bör rörelseträning ändå sättas igång. Handens funktion prioriteras före frakturens läge och läkning. Radiologisk läkning syns oftast först efter ca 6 veckor, medan frakturen ofta är stabil för obelastad rörelseträning efter 3 veckor.
Typfrakturer
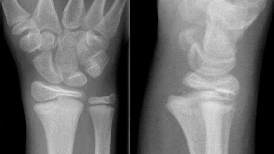
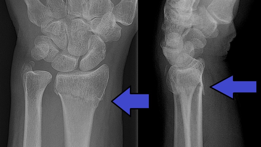
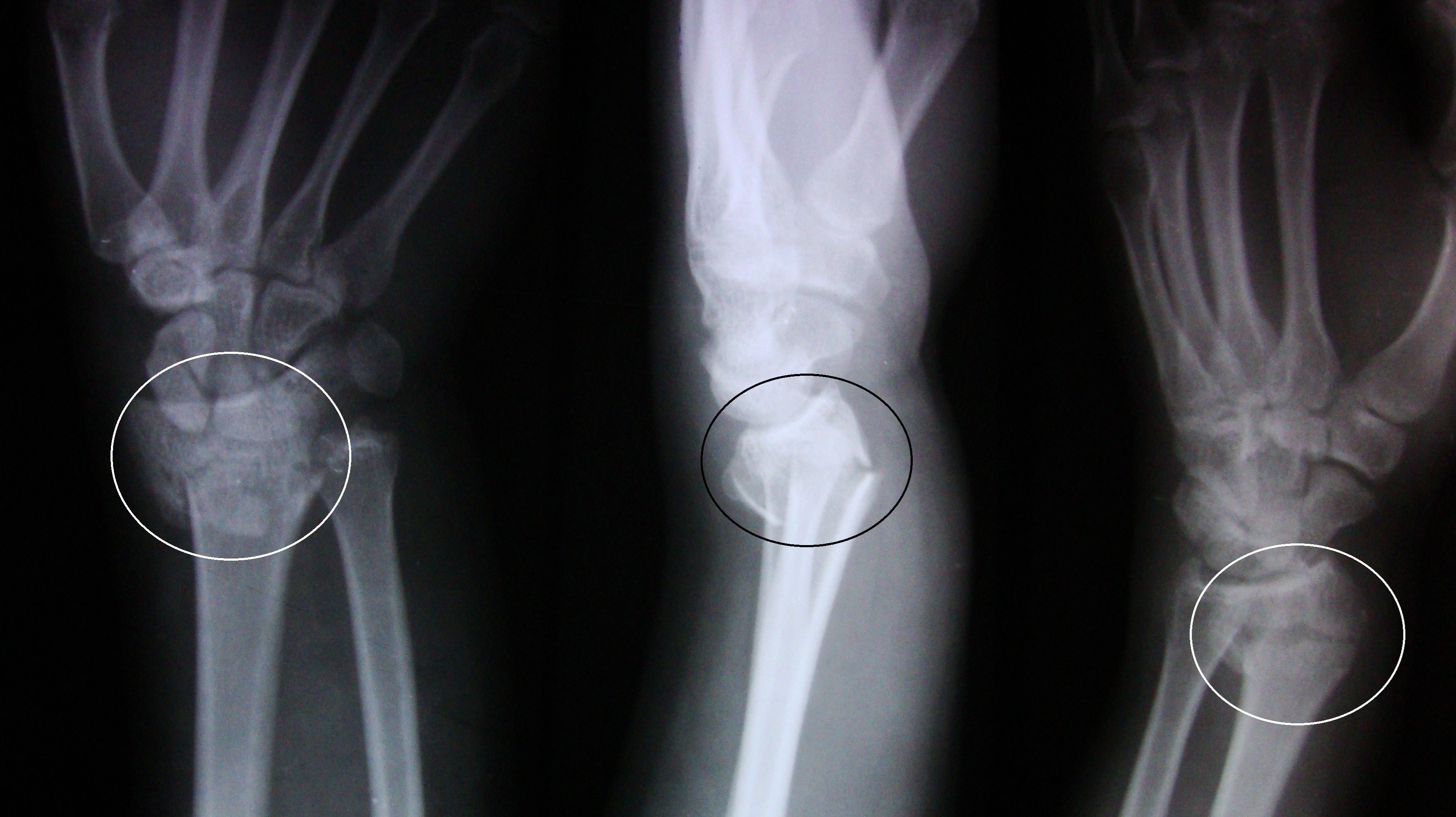
Distal radiusfraktur (handled)
Distal radiusfraktur är den vanligaste frakturen överhuvudtaget. Drabbar oftast kvinnor med osteoporotiskt skelett (fallskada inomhus eller utomhus vid halka). Högenergiskador i samband med trafikolyckor och sport drabbar vanligen yngre individer.
Hos yngre prioriteras frakturläge och frakturläkning, noggrann reposition (ofta öppet), säker retinering (ofta intern fixation) och adekvat immobilisering till frakturläkning. Hos äldre patienter med osteoporos finns ökad risk för svullnadskomplikationer och utveckling av CRPS (se komp I). Här läggs större tyngd på ödembehandling, handträning och handens totala funktion mer än läget på frakturen.
Olika distala radiusfrakturer
- Dorsal felställning: Colles fraktur
- Volar felställning: Smiths fraktur
- Volar felställning med intraartikulärt engagemang: Smith-Barton fraktur
Behandlingen bör individualiseras och bygga på klassificering av frakturen i olika svårighetsgrader.
Smith fraktur och Smith-Barton fraktur är ofta instabila och kräver rigid fixation, Smith-Barton oftast med volart anbringad frakturplatta. Colles fraktur kan ibland behandlas enklare, exempelvis med dorsal gipsskena. Denna fraktur dislocerar dorsalt, men även med axial kompression av radius. Graden av radiusförkortning anses påverka slutresultatet och kraftig förkortning bör därför reponeras.
Behandlingen kan utgå från ett klassificeringssystem, exempelvis Older som delar in frakturer i 4 typer beroende på initial felställning.
- Typ 1: liten felställning, radiusförkortning < 2 mm
- Typ 2: mer uttalad felställning, radiusförkortning 2-5 mm
- Typ 3: uttalad felställning med komminut fraktur av dorsala cortex, radiusförkortning > 5mm
- Typ 4: intraartikulär komminut fraktur med kraftig felställning.
Operationsindikation föreligger (om vital patient)
- Ulna+ 2-3 mm
- Dorsalbockning > 20° (mätt från normal/ursprungsläget)
- Hak i ledytan > 1-2 mm
Operation sker med volar platta.
Observera att det är vanligt med associerade ligamentskador (SL-ligament, LT-ligament, TFCC) i handleden vid komplicerade distala radiusfrakturer (högenergiskador) För att bedöma detta kan man behöva använda sig av artroskopi peroperativt.
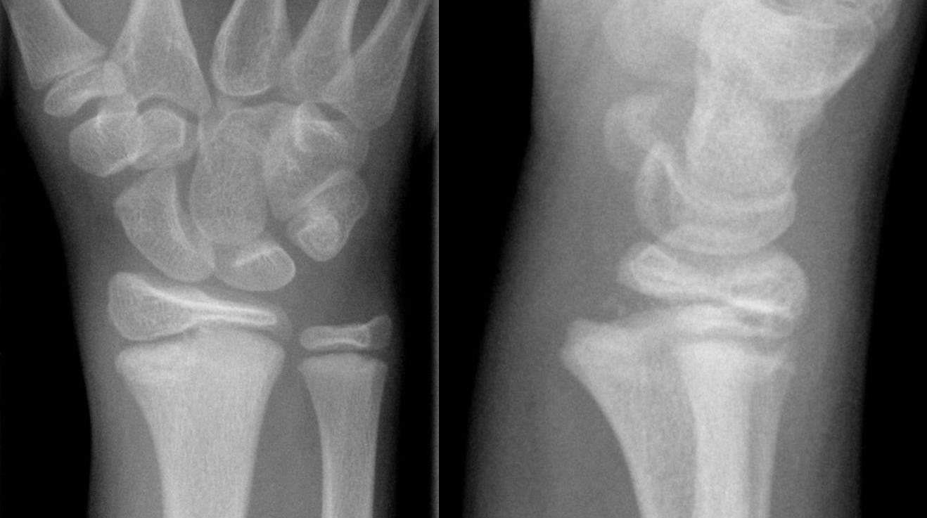
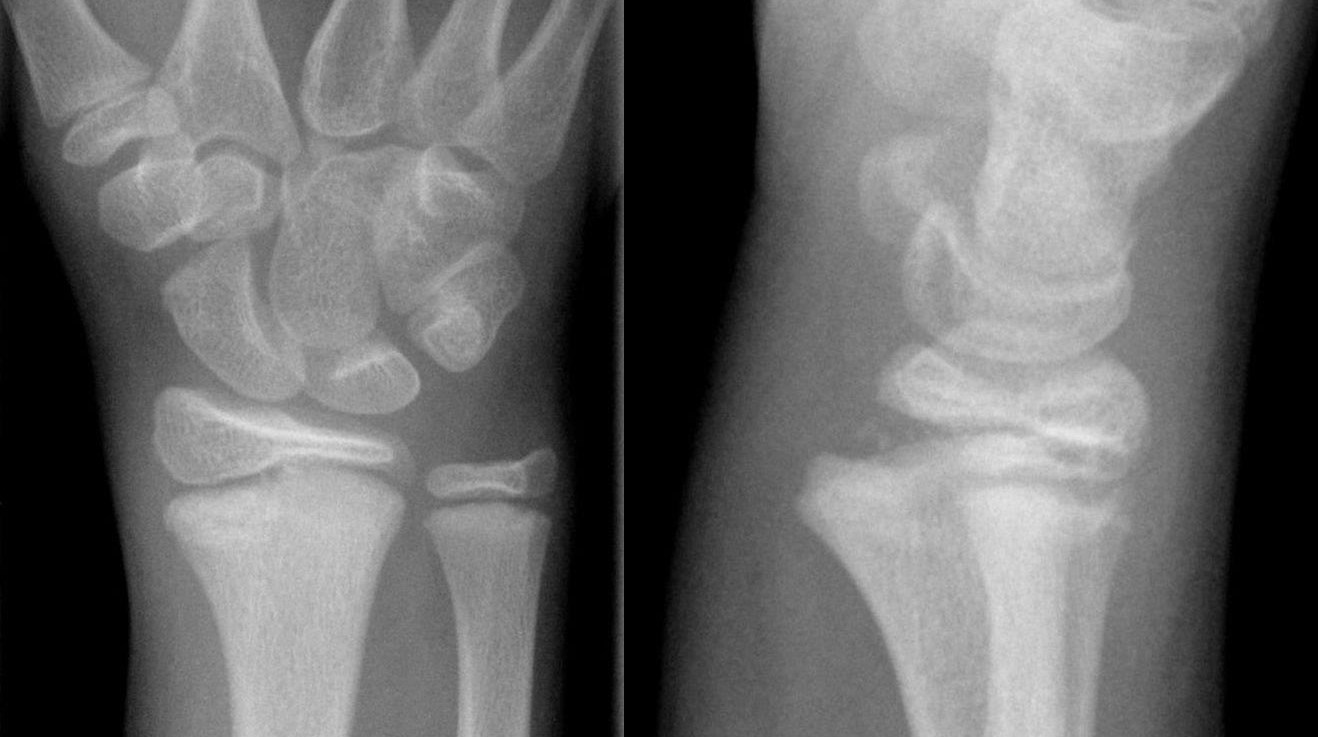
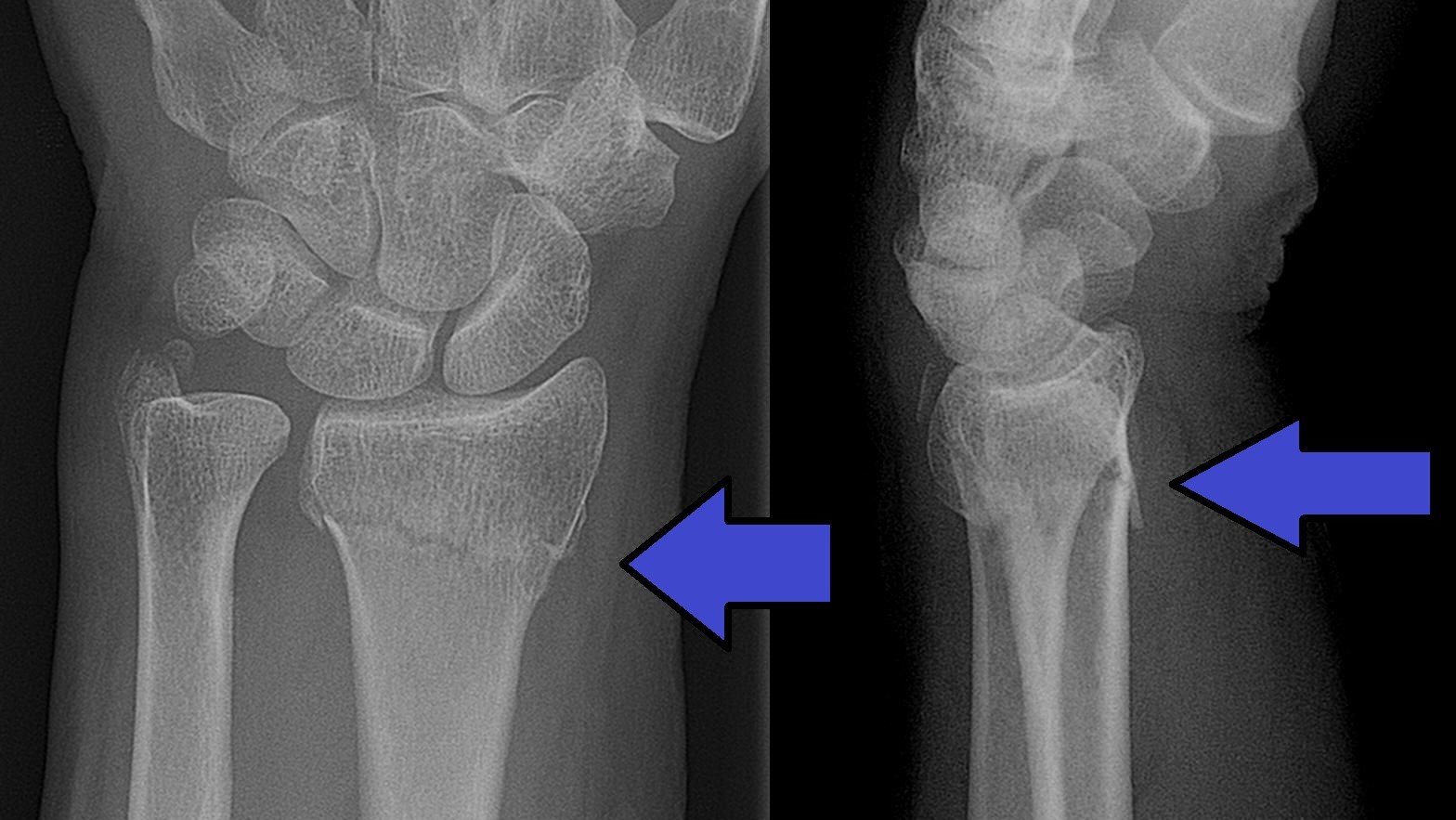
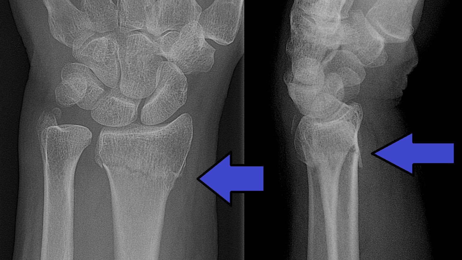
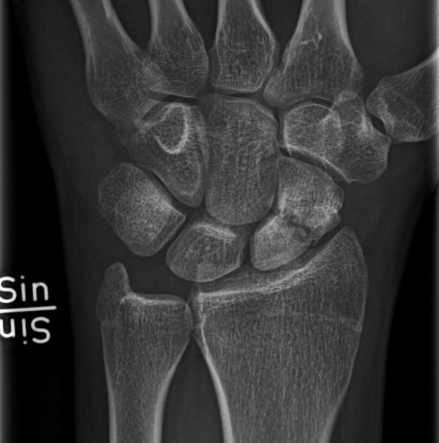
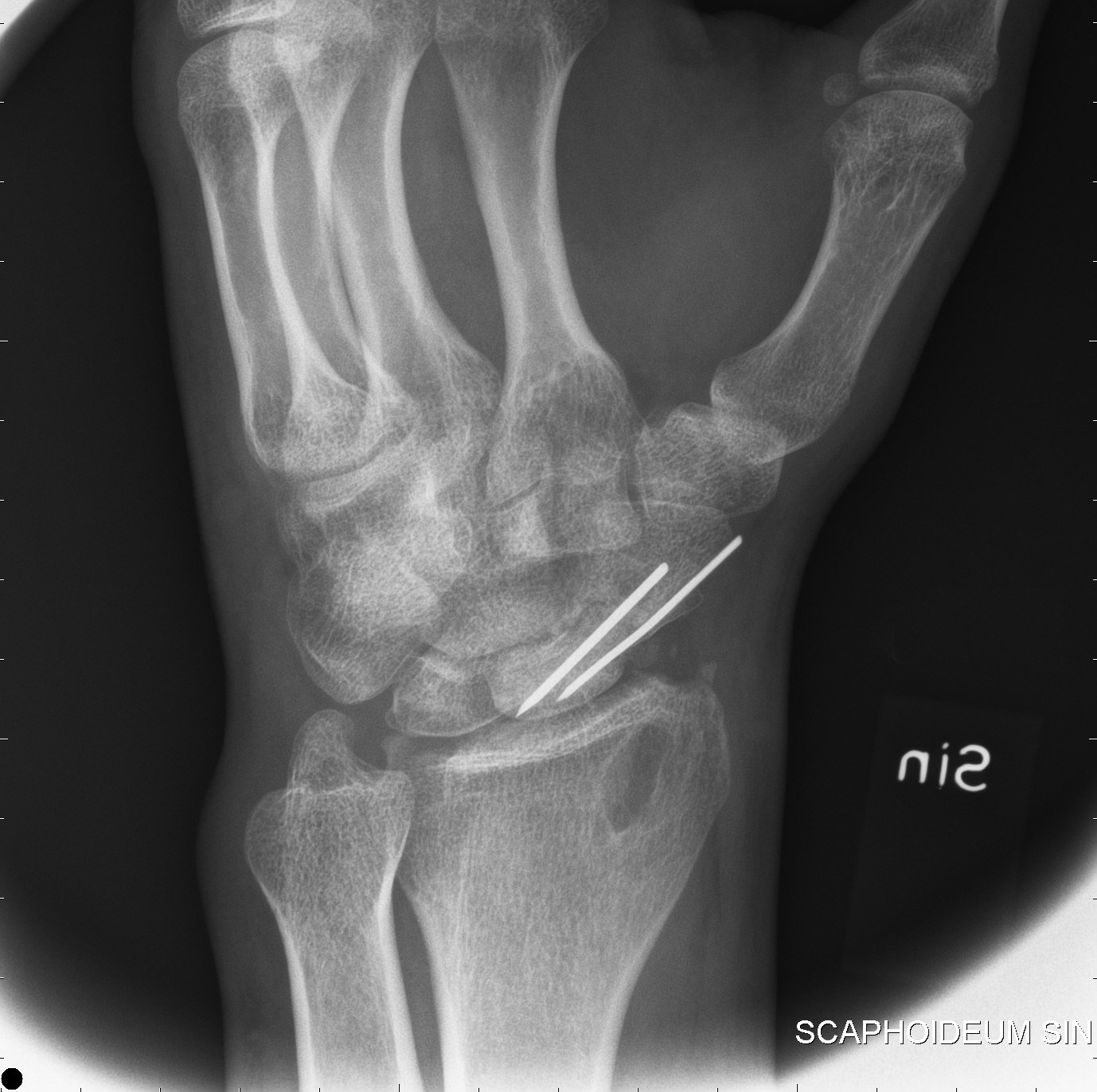
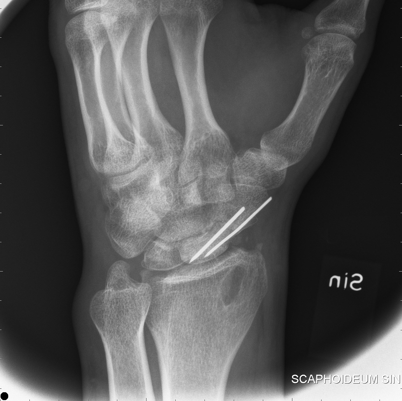
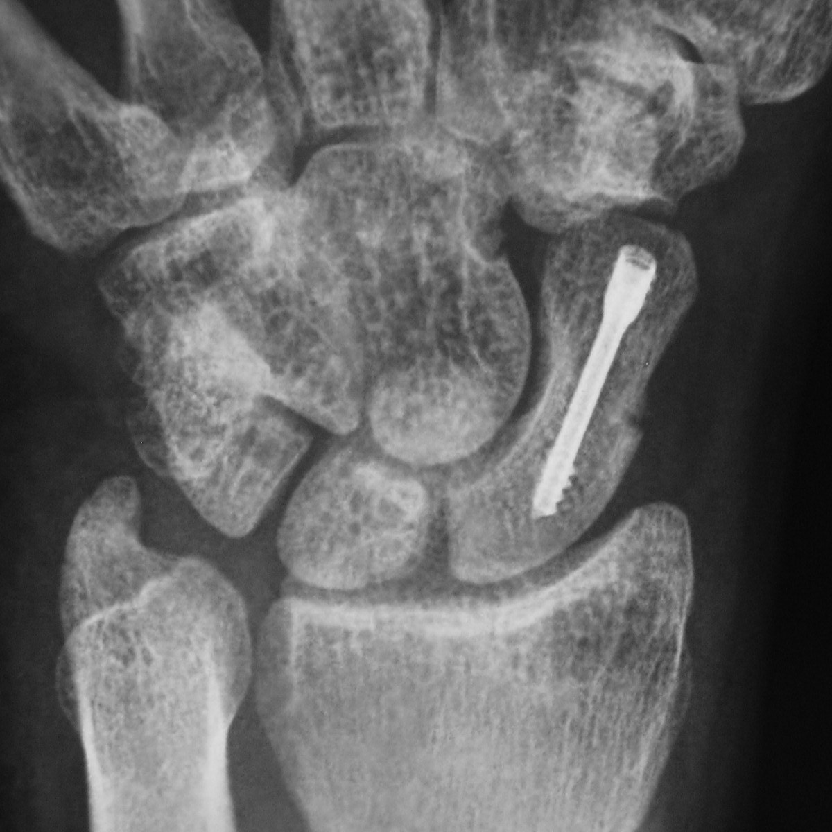
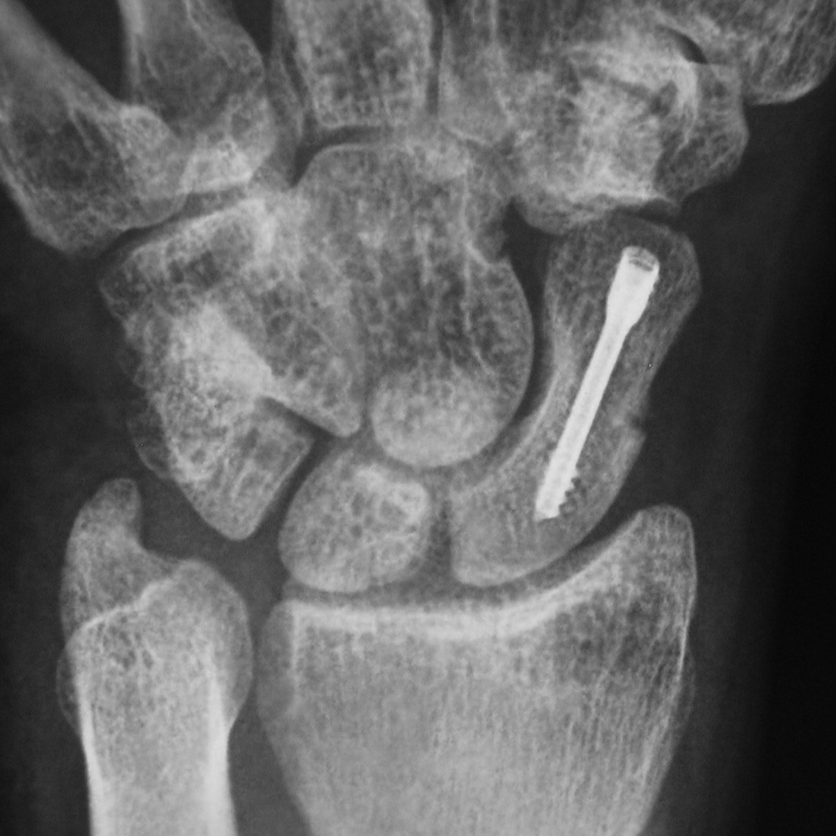
Scaphoideumfraktur
Symtom
Palpationsömhet i fossa Tabatiére, smärta vid axialt kompression av tummen samt vid dorsalextension respektive radialdeviation av handleden.
Drabbar ofta yngre individer i samband med sportutövning eller efter annat kraftigt dorsalextensionsvåld. Frakturen är ofta svår att identifiera på slätröntgen varför upprepade undersökningar och/eller CT/MR kan behövas.
Scaphoideum är dåligt vaskulariserad och ofta läker dessa frakturer (ffa proximala polfrakturer) långsamt; 3 månader i gips är normaltid! Gipsen skall immobilisera tumbas, handled och begränsa armens pro-supination. Utebliven läkning (pseudartros) är relativt vanligt och risken ökar om frakturen inte immobiliseras från skadetillfället.
Vid misstanke om scaphoideumfraktur (adekvat trauma, ömhet i fossa Tabatiére)
- Immobilisera i scaphoideumgips även om röntgen bedöms normal.
- Beställ då röntgenkontroll (utan gips) efter 10-14 dagar! Om röntgen är u a även efter 2 veckor, men status kvarstår: ordna snar MR- eller CT-undersökning!
Om skadan missas leder den mycket ofta till pseudartros och senare artros. En smärtsam pseudoartros kräver ofta att man tillför ben från crista illiaca vid operation och vid en handledsartros krävs någon typ av steloperation eller annat större ingrepp.
Det är tyvärr vanligt att frakturen missas då patienten kan uppleva symtomen som en distorsion, men det är också ganska vanligt att det missas av den undersökande doktorn. Detta sammantaget (s.k. 'patient's and doctors’ delay') innebär tyvärr att pseudoartrosoperationer är ganska vanliga.
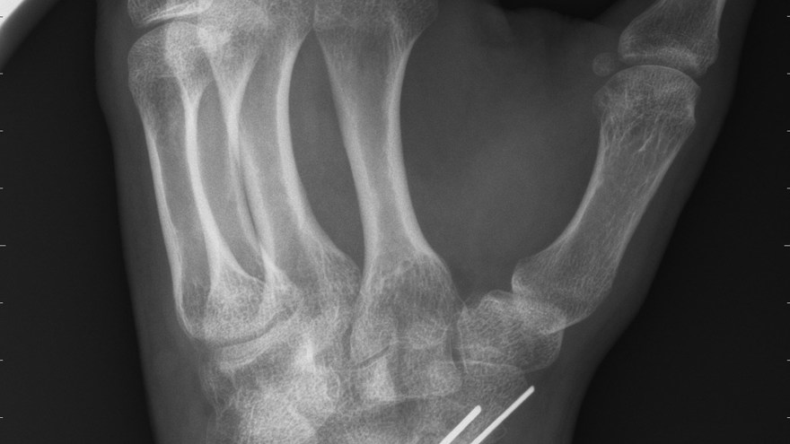
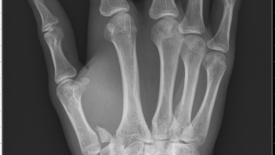
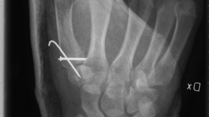
Bennetfraktur
Bennetfraktur är en intraartikulär luxationsfraktur genom basen av metacarpale I. Metacarpalbasen tenderar att luxera genom APL senans dragning i radiell-proxmal riktning. Frakturen behöver därför i princip alltid reponeras och immobiliseras internt med stift. Kan se väldig beskedlig ut på primära bilder men dislocerar succesivt genom senans dragning – klassificeras därför som ”lurig”.
Mekanism vid Bennetfraktur
Bennetfraktur där det ulnara fragmentet i basen på metkarpalen hålls kvar med hjälp av ligament i karpus. På grund av drag i abductor pollicis longus (APL) uppstår nästan alltid en diastas i frakturen. Diastasen i ledytan ger sekundärt artros. Dessa frakturer kräver således exakt fixation – vanligen i form av stift eller skruv.
Subcapitulär metacarpalfraktur
Subcapitulär metacarpalfraktur är en vanlig slagsmålsskada och drabbar då ofta metacarpale V. Frakturen dislocerar alltid volart och viss kvarvarande volarställning (ca 30-40° i MCP V) kan accepteras. Behandlas annars med sluten reposition och gips i 3 veckor.
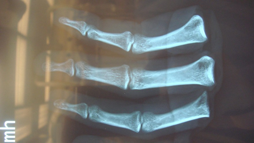
Fingerfalangfraktur
Fordrar vanligen operation p.g.a. att de ofta dislocerar och att det krävs tidig rörelseträning om man skall förhindra att fingret blir stelt.
UCL-skada i tummens MCP-led
Allmänt
UCL-skada är en vanlig skada som även kallas ”Skidåkar tumme” eller ”Stener tumme”.
Ulnara kollateralligamentet är är viktigt för tummens stabilitet i nyp- och framförallt pincett grepp. Vid en totalruptur av detta ligament kan det exempelvis bli omöjligt att hålla och skriva med en penna.
Vanlig skada som ofta uppkommer vid skidåkning, betraktas som så vanlig orsak att den i vissa länder kallas skiers´ thumb. Skadan uppkommer genom ett kraftigt våld i valgus riktning när man kör ner tummen i marken då den sticker ut vid grepp om staven.
Det ulnara kollateralligamnetet kan då rupturera och det som gör skadan så speciell är att när tummens MCP led fjädrar tillbaka kan ligamentet fastna dubbelvikt över kanten till tummens adduktormuskelaponeuros. Den proximala änden hamnar således på fel sida om aponeurosen.
Det gör skadan unik såtillvida att det är det enda av kroppens ligament som inte läker genom konservativ behandling eftersom de bägge ligamentändarna inte får kontakt med varandra. Ligamentet fastnar med den rupturerade änden långt ifrån sin infästning på basen av tummens grundfalang.
Om ligamentet inte fastnar på adduktoaponeurosen kommer skadan att läka bra med gips eller ortos behandling. Svårigheten ligger alltså i att vara säker på att ligamentet inte är ”uppslaget”. Med ultraljud kan man ibland påvisa detta och även röntgen kan ge vägledning om ligamentet ryckts loss tillsammans med en del av infästningen i benet.
Det är dock klinisk diagnostik som gäller. Förutom att palpera ulnart över MCP leden för att försöka lokalisera smärtan och känna ligamentet får leden stabilitetstestas. Det skall ske i sträckt och semiflekterat läge. Valgus vackling över 30 grader eller sidoskillnad mer än 10 grader stärker misstanken. I det akuta skedet är det inte ovanligt att tummen är så smärtkänslig att stabiliteten är omöjlig att bedöma. Antingen kan man då lägga en tumbasblockad med lokalanestetika eller också kan man gipsa patienten och planera för ny undersökning efter en vecka då den värsta smärtan och svullnaden klingat av.
Är man inte säker på att ligamentet ligger på sin rätta plats för bra inläkning är grundregeln att man öppet explorerar för att försäkra sig om detta. Det är en okomplicerad operation som medför små risker. Operationen skall göras inom några veckor från skadan annars läker ligamentet till en klump som blir svår att reda ut och återinfästa.
En rekonstruktion av en gammal ruptur är en betydligt mer avancerad operation som också innebär en osäker prognos framförallt avseende hållbarhet. Yngre personer, särskilt sådana med tungt manuellt arbete, rekomenderas därför oftast artrodes av MCP leden vid kroniska rupturer. Initialt rätt handläggning för att inte förbise denna diagnos är därför mycket viktig.
Behandling
Partiell skada behandlas konservativt med gipsimmobilisering minst 3 veckor, och ortos 2 veckor därefter.
Total skada innebär indikation för operation av ovan nämnda anledning. Aponeurosen får delas på vägen in, ligamentet sys likaså aponeurosen därefter. Gipsimobilisering i 5-6 veckor efter operation.
Infektioner
Allmänt
Händerna hör till de mest skadeutsatta delarna av kroppen och även om en liten sårskada eller hudpenetration kan leda till infektion är detta ändå relativt ovanligt. Handen skyddas bra av effektiv blodcirkulation och ett gott lokalt immunförsvar.
Ändock kan en till synes banal infektion i ett finger få katastrofala konsekvenser, om den inte behandlas tid. Infektionen kan snabbt sprida sig längs senskidor eller djupare spatier och ge ett fulminant förlopp som snabbt kan leda till amputation eller helt stelt finger pga ärrbildningar längs senor eller svårt skadade leder.
I ett mycket tidigt skede kan det gå att hejda en infektion med strikt immobilisering, högläge och antibiotika, men vid spridning till djupa vävnadspartier är kirurgiskt dränage nödvändigt. Eftersom en etablerad handinfektion oftast behöver botas med kniven bör dessa infektioner i första hand betraktas som en kirurgisk åkomma.
Väljer man konservativ behandling fordrar detta en mycket aktiv övervakning inneliggande eller åtminstone mycket snar uppföljning (nästa morgon). I praktiken blir det, vid artriter och tendovaginiter, ofta inläggning för observation om det råder tveksamhet gällande operation eller ej.
Patienten är fastande under det att man observerar resultatet av 2 ev 3 doser med i.v antibiotika. Om patienten inte blir markant förbättrad så bör patienten opereras! Om objektivt förbättrad under iv antibiotika avvakta ytterligare något dygn och sedan skifte till p.o antibiotika - förhoppningsvis har odlingsvar då anlänt. Om klar och kontinuerlig bättring kan patienten skickas hem med snar poliklinisk kontroll för att sedan fortsätta med antibiotika till dess att det gått sammanlagt 7-10 dagar.
Vanligaste patogen vid handinfektioner är staphylococcus aureus. De svarar för ca 80% av infektionerna. Streptokockernas andel är ca 10 % och gramnegativa organismer såsom e.coli, proteus och pseudomonas kan förekomma. I samband med djurbett är ovanligare bakterier mer vanligt förekommande t.ex. pasturella multocida.
Det är heller inte ovanligt att stafylokocker och streptokocker förekommer samtidigt. Observera att volart belägna infektioner ofta ger upphov till rodnad och svullnad över handryggen då denna är luckert och löst förbunden med underlaget.
Var alltid frikostig med odlingsprov. Dessa bör givetvis tas innan antibiotika behandling påbörjas och denna skall sedan anpassas till odlingssvaret. I väntan på odlingssvar är ofta ett penicillinasstabilt penicillin (kloxacillin/flukloxacillin) lämpligast, men detta skall naturligtvis anpassas till omständigheterna.
Tänk på att ta odlingarna från sårkanter utan kontakt med huden! Odling från pus behöver inte ge något då det kan sakna levande bakterier!
Generellt ”tänk” vid handinfektioner
- Skall antibiotikabehandling initieras? Vilken?
- Odling!
- Immobilisera?
- Remiss (telefonkontakt) eller snabb uppföljning?
- Terapisvikt: Overksam antibiotika? Kvarliggande främmande kropp? Nedsatt immunförsvar? (ex. diabetes, RA, malignitet)
- Snar förbättring annars konsultation eller remiss!
Cellulit
Fynd
Smärta, svullnad och rodnad av ett finger kan vara baserat på en diffus infiltrativ hudinfektion – en cellulit. Lymfangit och lymfadenit är vanliga. Odling visar vanligtvis hemolytiska streptokocker. Tillståndet kan vara ett förstadium till en djupare infektion. En mycket allvarlig diffdiagnos är dock nekrotisernade fascit/myosit som kan vara omöjliga att särskilja initialt från en lindrig cellulit.
Behandling
Infektionen går ofta i regress vid immobilisering, högläge och adekvat antibiotika, vanligtvis penicillin per os eller intravenöst.
Paronyki (nagelbandsinfektion)
Allmänt
Småskador i anslutning till nagelbandet kan leda till en paronyki, eventuellt med spridning till eponykiet (nagelbandet) och även till andra sidans paronykium (nagelfalsen).
Behandling
I tidigt skede kan infektionen vika genom rengöring och immobilisering. Vid begynnande smältning kan ofta tillräckligt dränage erhållas genom att försiktigt lyfta upp nagelbandet med ett fint trubbigt instrument. Vid massiv smältning kan paronykiet och eponykiet incideras och lämnas öppet. Resektion av hela nageln eller dess laterala del kan också vara nödvändig. Om infektionen är belägen under nageln, avlägsnas hela nageln eller dess proximala delar.
Pulpainfektion
Allmänt
Lokala intrakutana eller subkutana infektioner kan ibland ge lokaliserad svullnad med spridning mot djupet. En s.k. kragknapps-abscess kan vålla diagnostiska och terapeutiska problem: i dessa fall kan en ytlig lokaliserad infektion via en en smal gång vara förenad med en djupare härd, vilket lätt kan förbises. Incision och dränage, även av den djupt liggande infektionen, är nödvändig.
En viktig typ av pulpainfektion är panaritium vilket är en djup lokaliserad infektionshärd i fingerpulpan: pulpan är genomsatt av strama och oeftegivliga fasciesepta. En expanderande infektion med åtföljande ödem ger en kraftig tryckökning som leder till försämrad blodförsörjning och risk för omfattande nekros, en form av lokalt compartmentsyndrom. Om inte behandlade tidigt kan en amputation krävas.
Behandling
Pulpan dekomprimeras genom en bred och djup incision strax volart om nagelns laterala kant med samtidig delning av fasciesepta och avlägsnandet av infektionshärden.
Baktriell artrit
Råd och färdigheter
Översikt ledpunktion-analys - Vårdhandboken
Se även tabell under avsnitt 'Analyser vid artritmisstanke'.
Allmänt
Bakteriell artrit ses ofta i handens MCP- och PIP-leder. PIP-ledsartrit ses ofta efter stickskador orsakade av taggar eller andra vassa föremål.
Relativt vanlig är också infektion i någon av handens MCP-leder, orsakad av slagsmål där knogen träffat kombatantens tand. Skadan leder ofta till penetration in i leden, ibland också skada på sträcksena och ledbrosk. En sådan bitskada leder snabbt till en mycket svår infektion, som inom några dagar kan smälta ner ledbrosket. Infektionen är vanligen orsakad av staphylococcus aureus eller streptokocker. Vid misstanke om bakteriell artrit gäller skyndsam handläggning!
Behandling
I blodtomt fält och med fullgod anestesi revideras sårskadan, leden öppnas brett och genomspolas. Spolningen måste eventuellt upprepas under de närmaste dagarna.
Viktigt är att känna till att skador inom hud, sträcksena och ledkapsel vanligtvis inte befinner sig i samma nivå när fingret är sträckt i samband med undersökningen och en penetration in i leden därför kan vara svår att se.
Vid skadeögonblicket har handen varit knuten och de olika glidskikten har då befunnit sig i ett annat läge i förhållande till varandra, se skiss Efter odling och genomspolning skall såret lämnas öppet och handen immobiliseras i funktionsställning.
Analyser vid artritmisstanke
Inflammation i små-medelstora leder ger mycket sällan systemisk reaktion, förrän det börjar bli tal om septikemi, sepsis. Blodanalyser som CRP, SR och LPK är inte att ta fasta på (möjligen LPK, i det akuta skedet).
Tabell - Analyser vid artritmisstanke, Axelsson, P. & Fredrikson, P.
PDF-version av Analyser vid artritmisstanke, Axelsson, P., & Fredrikson, P.
Textversion av Analyser vid artritmisstanke, Axelsson, P., & Fredrikson, P.
Vilket rör vid ledvätskeanalys
Obs! Skriv ”ledvätska” på röret så provet inte körs som plasma.
- Ledv.- Glukos (Flourid-K-oxalat, grått rör, kem-lab < 30 min)
- Ledv.- Laktat (Flourid-K-oxalat, grått rör)
- Ledv.- kristaller (EDTA, ljuslila rör, dock kan detta variera mellan olika lab – kontrollera vad som gäller på ditt sjukhus!)
- Ledv.- LPK (”celler”) (EDTA, ljuslila rör, kem lab<2 tim)
- Direktmikroskopi Flourid-K-oxalat, grått rör till bakt. lab. (Kyl inför transport.)
Osteit/osteomyelit
Allmänt
Osteit/osteomyelit innebär djup infektion i ben och/eller benmärg. Hematogen spridning eller Direkt spridning från omgivande mjukdelar eller närliggande led förekommer (oftast hos småbarn) men är ovanligt pga. den effektiva barriär som benhinnan utgör. Därför är det vanligast att en osteit uppkommer efter att en fraktur, en skruv eller något annat föremål skadat periostet.
På händerna är det vanligast med osteit i fingertopparna efter att patienten gått lång tid med lågintensiv infektion i anslutning till kring naglarna. I övrigt kan en osteit förekomma på vilken lokal som helst efter öppen fraktur eller att bakterierna spridits via osteosyntesmaterial eller annan kirurgi.
Osteit är liksom övriga handinfektioner förhållandevis ovanliga såvida man inte har systemsjukdom som påverkar immunförsvar eller perifer blodcirkulation. Att de är ovanliga gör dem inte banala, tvärtom är det ett allvarligt tillstånd och inte slutar en osteit i ett finger med amputation.
Fynd
Osteit kan ge sparsamt med symptom. Låggradig värk och viss svullnad uppkommer men rodnad och ömhet kan vara diskret, särskilt om benet är täckt av lite tjockare mjukdelar.
SR, CRP, leukocyt antal och andra prover ger också svag och sen indikation då den lokala infektionen endast ger svag allmän inflammation i kroppen. Diagnosen ställs istället via röntgenbildernas utseende. Ofta får röntgen undersökningen upprepas och man ser då suddigt avgränsade mörka områden som ibland kantas av en periostal reaktion.
Det tar vanligen 2-3 veckor för att röntgenförändringarna att utvecklas. En snabbare och tydligare diagnos kan man få genom MR eller Leukocyt scintigrafi men de ger dålig information efter trauma.
Behandling
När en infektion väl etablerat sig i benet är det mycket svårt att få den att läka ut. Istället bildas lätt abscessliknade nekrotiska partier. Till dessa områden penetrerar antibiotikan dåligt och därför krävs alltid en radikal kirurgisk utrymning av området innan man inleder långtidsbehandling med antibiotika.
Under operationen är det viktigt att odlingar och vävnadsprover tas så att man senare är säker på att rätt spektrum är täckt. Ofta lägger man också till lokalbehandling i form av antibiotikaimpregnerade kollagensvampar eller liknade för att initialt uppnå en så hög lokal antibiotika koncentration som möjligt. Den perorala antibiotika behandlingen får därefter fortgå till man med råge sett att röntgenbilden och infektionsprover normaliserats vilket oftast blir 3, men ibland 6 månader. Stafylokocker är vanligaste agens men ofta förekommer blandflora. Vanligen inleds behandlingen med Cefuroxim eller Kloxacillin och senare dess perorala varianter i väntan på odlingssvar.
Är det så att osteiten etablerats i samband med fraktur behöver osteosyntesmaterialet avlägsnas för att man skall få full utläkning. För att undvika pseudoartrosutveckling vid en akut fraktur, särskilt en infekterad sådan prioriteras dock läkning i första hand. Förutsättningen för detta är stabilitet och därför får osteosyntesmaterialet sitta kvar tills frakturen läkt. Därefter tar man ställning till hur man skall angripa osteiten.
Ett alternativ kan vara att direkt byta den inre fixationen till en externfixation. När det gäller infektion i anslutning till ledprotes gäller särskilda principer.
Tendovaginit
Allmänt
Blodcirkulationen innanför senskidorna är sparsam och vätskeinnehållet som delvis nutrierar senan är ett utmärkt substrat för bakterier- Tillsammans medför det att en infektion i senskidan (septisk tendovaginit) snabbt kan sprida sig och få ett fulminant förlopp. Tillståndet uppkommer ofta efter små men djupa sticksår där bakterierna planteras in på djupet, men kan också uppträda utan synbar anledning. Medan senskidorna motsvarande pek-, lång- och ringfinger är isolerade, kan tummens och lillfingrets senskidor kommunicera. En tendovaginit i något av dessa fingrar kan ibland spridas till ett s.k. V-flegmone, engagerande såväl tummens som lillfingrets senskidor.
Fynd
Karaktärisktiskt är rodnad och lokal ömhet motsvarande senskidans utbredning. Fingret står i lätt flexionsställning vilket ger störst volym och därigenom minst tryck inom senskidan, och varje försök till passiv extension utlöser häftiga smärtor. Aktiv flexion är också smärtsamt. Bilden kan förvillas av ett ödem på fingrets och handens ovansida.
Till skillnad från cellulit och artrit har man ingen rodnad eller ömhet över fingrets dorsalsida och ingen smärta vid isolerad axiell kompression av fingret som vid atrit. Infektionen ger en kraftig tryckökning i senskidan som kan försämra senans blodförsörjning. Detta, tillsammans med en rent toxisk påverkan, kan leda till snabb nekrotisering av böjsenan. Resultatet kan bli ett helt stelt och orörligt finger.
Behandling
I mycket tidigt skede kan strikt immobilisering av hela handen, högläge och antibiotikabehandling leda till regress. Antibiotikan penetrerar dock dåligt in senskidan och behandligen blir därför vanligtvis kirurgisk där man öppet dränerar och spolar igenom senskdan med koksalt.
Nekrotiserande Fasciit
Allmänt
Nekrotisernade fasciit, orsakas av vissa stammar av beta-hemolytiska streptokocker grupp A.
Det är en ovanlig men livshotande infektion, som extremt snabbt kan ge shock, intravasal koagulation (DIC), njursvikt och utbredda vävnadsnekroser. Den sprider sig under huden, ibland längs fascior men ibland respekteras inga gränser och infektionen ger nekroser i fettväv och muskler.
Detta är ett urakut tillstånd som inte sällan leder till amputation och flera dödsfall har beskrivits i de skandinaviska länderna under senare år. I övrigt helt friska individer kan drabbas.
Diagnosen skall misstänkas på individer där smärta eller allmänpåverkan inte alls står i proportion till anamnes och fynd i övrigt. Lokal ömhet kan vara mycket utalad även utan att huden är nämvärt rodnad eller spänd. Förutom nämda ömhet är fynden vanligtvis få initialt.
Behandling
Omedelbar operation är livräddande, all påverkad fascia och annan vävnad skall avlägsnas. Till detta läggs adekvat antibiotikaterapi, ev immunoglobulin och tryck kammmarbehandling.
Infektioner - Behandlingsförslag
Sårinfektioner
- Heracillin 750 mg x 3 i 7-10d
- Barn ev. Cefadroxil mixt. 30 mg/kg x 1
- Skada i lantbruk eller utomhusarbete – Bactrim forte 1 x 2
- Vid Pc allergi Dalacin 300 mg x 3 / Cefamox 500 mg x 2
Ben engagerande infektioner
- Heracillin 1g x 3 i 2v el mer
Efter djurbett
- Infektion < 2 dgn Amimox 500 mgx3, barn 25 mg/kg x 2 i 10d
- Infektion > 2 dgn Spektramox 500 mg x 3 i 10df
- Vuxna vid PC allergi Doxyferm 200 mg x 1 första dagen därefter 100 mg x 1 i 10d
- Barn vid PC allergi Bactrim
Efter människobett
- Kåvepenin 1g x 3 och Heracillin 500 mg x 3 i 10-14d
- Vid allergi Dalacin 300 mg x 3
Även utan klinisk misstanke om infektion behandlas samtliga i 5 dagar efter skada.
Infektioner - Odlingsförfarande
- Pinne el punktion (om punktion: Hur stort utbyte?)
- Prioritera? Odling/Direktmikroskopi
- Bakterier/ kristaller, LPK, Laktat, Glukos differens?)
- Tvätta
- Pus kan vara sterilt! Ta odlingen från kanten av såret men undvik huden, som alltid är kontaminerad av bakterier.
- Odla i både Aerob samt anaerob flaska
- Blododling?
- (S-glukos, CRP, LPK, SR)







































































































































